子どもの矯正治療なら松本市のおおた歯科・矯正歯科

〒390-0851

長野県松本市島内 5000-2

〒390-0851 長野県松本市島内 5000-2

お子さんのお口について
お早めにご相談ください

将来の
歯並びが
心配

発音が
良くない

姿勢が悪い

いびきが
気になる

無料カウンセリング実施中
お気軽にお越しください

9:00~12:00/14:00~18:00 ※土曜午後 14:00~17:00 休診:木日祝
ご予約お問い合わせ 0263-47-6670

当院の小児矯正の特徴

FEATURE

痛みが
少ない

リスクが
少ない

歯根吸収が
少ない

日本生理学的矯正歯科学会認定医による からだに優しい矯正治療 01

当院院長は、所属している日本生理学的矯正歯科学会の認定医として数多くの矯正治療を行っている実績豊富なドクターです。小児歯科では将来の成長に影響が出やすいので、特に低侵襲でからだに負担の少ない治療をご提供しているため、痛みが少なく日常生活への影響も少なくなっています。また、治療による負担を少なくすることで、顎関節症や炎症などによる歯根吸収のリスクも軽減することができます。

学会
認定医

日本生理学的矯正歯科学会
認定医って?

日本生理学的矯正歯科学会は、歯根吸収・顎関節症・咬合崩壊などの副作用を抑え、安全で低侵襲な矯正治療を推進する学会です。その中でも、十分な知識・技術・経験を有する認定医は、難症例にも柔軟に対応することができ、お子さんの将来の健康を最大限に考えた治療を提供することができます。

精確な矯正治療に必要不可欠な
先端設備の導入 02

緻密で精確な治療が求められる歯列矯正において、より詳細な検査データを採取することはとても重要です。そのため当院では、細かな検査を行うことができる設備や、顔全体の3次元データを取得できる設備などを導入し、緻密で精確な治療を実現しています。

歯科用 CT

歯や顎の
3 次元画像を
取得する
ことができます。

セファロ

歯や顎の位置関係を
分析するための
レントゲンです。

パノラマ
レントゲン

口腔内全体を一度に
撮影
できる
レントゲンです。

口腔内スキャナーによる負担の
少ない
型取りに対応 03

口腔内スキャナーを使用することで、型取りの不快感がなく、嘔吐反射が強いお子さんでも少ない負担で歯型をとることができます。また、精密な 3D データで歯並びや顎の成長を正確に分析でき、矯正治療の計画をより適切に立てることが可能になります。

むし歯の治療やメンテンナンスにも
対応可能な
総合歯科医院 04

むし歯の
予防や治療も

日頃の
メンテンナンスも

当院は、小児矯正だけでなくむし歯の治療や予防、歯周病治療まで対応可能な総合歯科医院です。お子さんのむし歯が気になる場合や定期的なメンテンナンスをしたい場合などもお越しください。また、歯周病やインプラントといった治療も行っておりますので、ご家族で通っていただくこともできます。

やさしい院長による無料相談の実施 05

小児矯正は将来的なお口の健康にも大きく影響するため、不安で中々踏み出せないというかたも多くいらっしゃいます。そういったかたでも気軽にご相談いただけるよう、当院では院長が無料相談を実施しております。また、無料相談内でパノラマレントゲン撮影・模型作製まで行いますので、具対的な疑問やご不安な点を遠慮なくご相談ください。

全部コミコミ価格で追加無しの
分かりやすい料金プラン 06

当院の料金は、検査費用・診断料・調整料もコミのトータルフィーでお伝えしているため、矯正治療を進めていく中で追加料金が発生することはございません。また、お支払い方法についても、12 回での分割払い(金利 0)やデンタルローンに対応しておりますので、ぜひご相談ください。

院内分割でのお支払いについて

お子さんの場合、矯正治療以外にも費用のかかる場面が多いかと思いますので、当院では金利のかからない分割払いをご用意しております。こちらの分割払いをご利用の場合でも医療費控除の対象となりますので、詳しくはスタッフまでご相談ください。

44 万円の治療費を分割でお支払い
いただく場合

初回
20万円

1回目
2万円

2回目
2万円

3回目
2万円

12回目
2万円

※初回のお支払は200,000円(税込)をお支払いいただきます。
※残りの治療費 240,000円を 12 回の分割でお支払いいただきます。
※金利のご負担無しでご利用いただけます。

デンタルローンでのお支払いについて

矯正治療は他の治療と比較しても費用が高くなりますので、デンタルローンをご利用いただくことで月々のご負担を少なく安心して治療を受けていただくことが可能です。デンタルローンを使用した場合でも医療費控除の対象となりますので、詳しくはスタッフまでご相談ください。

デンタルローンでのお支払い例

月々4,500(税込)で始められます

※初回のお支払のみ、6,624 円 (税込)となります。
※治療費 440,000 円の矯正治療を 120 回の分割払いでのお支払いいただく場合の例となります。

このような
お悩みはありませんか

TROUBLE

子どもの
将来の
歯並びが
不安

口で呼吸
している

出っ歯を
治したい

受け口を
治したい

姿勢が悪い

指しゃぶりが
治らない

口を開けている
ことが多い

よく頬杖を
ついている

食べかたが
気になる

お子さんのこのような
お悩みや症状を放置してしまうと、
口腔機能発達不全症のリスクが
高まってしまいます…

口腔機能発達不全症に
ついて

SYMPTOMS

早めの対応が
お子さんの将来を守ります

口腔機能発達不全症とは、食べかた(咀嚼・嚥下)、話しかた、呼吸方法などの口腔機能が十分に発達していない状態のことです。こういった状態は生まれつきのものではなく、指しゃぶりや口呼吸などの悪習癖が原因となることが多くあり、日本歯科医師会のデータによると 10 代の子どもの約 50%が口腔機能発達不全症の疑いがあるとされています。習慣からの改善が必要なため、できるだけ早く治療を開始して、成長に合わせた改善を行うのが理想となります。気になるかたは一度ご相談ください。

低位舌とは?

口腔機能発達不全症のひとつに低位舌という状態があります。低位舌は、舌が正常な位置よりも低い位置にある状態のことで、上顎の成長を阻害してしまったり、歯並びを悪化させてしまったりする可能性があります。そのため、舌の位置の改善や矯正治療が必要になります。

お子さんのこのような行動・状態が
低位舌のサインかも

食べかた

くちゃくちゃと音を立てて食べている

話しかた

発音が悪く、話しにくそうにしている

呼吸の仕方

口呼吸になっていたり、呼吸しづらそうにしたりしている

寝ているとき

いびきが酷かったり、寝ぞうが悪かったりする

姿勢

猫背になっている(気道を確保するために姿勢が悪い)

その他

いつも口をポカンと開けている

口腔筋機能療法

MFT

将来的にも
お口を健康にするトレーニングです

お口の健全な発育を促進するためには、矯正装置の使用が効果的ですが、それだけでは十分とは言えません。MFT(口腔筋機能療法)は、矯正装置に依存せず、お子さんの自然な成長の力を活かしたトレーニングを行い、唇や舌の動きと形を整えることで健全な発育を目指します。

矯正装置

トレーニング

舌圧検査

舌の力を測定するための検査で、舌の筋力や動きを調べます。舌の筋力や動きは、歯並びや顎の成長に大きく関わっているため、この検査を行うことで必要なトレーニングや矯正治療の方針を決定していきます。

口腔閉鎖力検査

お口を閉じる力を測るための検査です。お口をしっかりと閉じることができるかを確認し、お口の筋肉の発達状況を調べます。お口を閉じる力は、呼吸や撥音などに大きく関わっているため、この検査結果に応じて、筋力強化のトレーニングを行います。

お口まわりのトレーニング

口や舌、唇の筋肉を鍛えるための練習です。これにより、食べ物をうまく噛んだり飲み込んだり、はっきりと話したりする力が向上します。特に成長期のお子さんにとって、これらのトレーニングは健全な口腔機能の発達に重要です。

お子さんのお口について
お早めにご相談ください

将来の
歯並びが
心配

発音が
良くない

姿勢が悪い

いびきが
気になる

無料カウンセリング実施中
お気軽にお越しください

9:00~12:00/14:00~18:00 ※土曜午後 14:00~17:00 休診:木日祝
ご予約お問い合わせ 0263-47-6670

装置の種類

ORTHO TYPE

お子さんに合った
矯正装置
を選んでいます

当院では、お子さんの成長やお口の症状に合わせ、適切な矯正治療をご提案しています。3 歳~5 歳のお子さんには、反対咬合や過蓋咬合など具体的な症状に応じた装置を選定し、成長期ならではの治療効果を最大限に引き出します。

3 歳頃~

反対咬合の場合

フェイシャルマスク

上顎の成長を促し、下顎の前突を修正する効果が期待できます。

過蓋咬合の場合

プレオルソ

上顎の発育を促し、正しい歯の位置へ導くことで、顔全体のバランスを改善する効果が期待できます。

5 歳頃~

プレオルソ

上顎の発育を促し、正しい歯の位置へ導くことで、顔全体のバランスを改善する効果が期待できます。

バイヘリックス

主に下顎に装着。ワイヤーを奥歯に固定して、2つのバネによってワイヤーが外に行こうとする力を使って顎を拡げます。

2×4(ツーバイフォー)

乳歯と永久歯が混在している時期に用いる矯正治療法で、前歯4本にブラケットを装着し、歯列の整列を効率的に促進する固定装置です。

小児矯正について

PEDIATRIC ORTHO

大切なお子さんの未来を
守るために
今から始める矯正治療

小児矯正は、成長期のお子さんのお口の環境を整え、永久歯へ移行していく中できれいな歯並びと噛み合わせを実現するための治療です。早めから治療を行うことで、歯や顎の成長に合わせた矯正が可能となり、将来的なトラブルを未然に防ぐことにもつながります。さらに、成長期の今にしかできない、お口の機能を育てるトレーニングも行うことで、お子さんの健全な未来と笑顔を守りましょう。

小児矯正のメリット

抜⻭リスクが低い

後戻りしにくい

治療期間が短い

悪習癖も改善される

負担が少ない

始める時期が大切です

お子さんの成長に合わせた矯正治療を
行っています

年齢 3〜6 歳頃 6〜12 歳頃 10 歳〜
【乳歯列期】
乳歯の生え始め ~
6歳臼歯が生えるまで
【混合歯列期】
永久歯に生え替わり始め ~
【永久歯列期】
永久歯の生え替わり完了 ~
親知らずが生えるまで
矯正期
0 期矯正
フェイシャルマスク
プレオルソ
Ⅰ期矯正
プレオルソ
2×4(ツーバイフォー)
Ⅱ期矯正
ブラケットなど
目的 悪いクセを治す 歯並びを治す より綺麗に
歯並びを並べる
効果 歯並び、口呼吸、お顔立ち、表情、持久力、集中力、全身の健康 歯並び、口呼吸、お顔立ち、表情、持久力、集中力、全身の健康 歯並び

お子さんのお口について
お早めにご相談ください

将来の
歯並びが
心配

発音が
良くない

姿勢が悪い

いびきが
気になる

無料カウンセリング実施中
お気軽にお越しください

9:00~12:00/14:00~18:00 ※土曜午後 14:00~17:00 休診:木日祝
ご予約お問い合わせ 0263-47-6670

矯正治療の流れ

FLOW

無料相談

お子さんの成長をサポートするための第一歩として、まずは気軽にお悩みを伺えるよう、無料でのご相談を行っております。また、一緒にお子さんのお口を確認できるよう、パノラマレントゲンで撮影したデータをもとに模型を作製し、お口の機能も確認できるように嚥下の様子も撮影いたします。

精密検査

無料相談後、治療に進む場合はさらに詳細な精密検査を行います。セファロや口腔内写真、顔貌写真を用いて、お子さんの骨格や歯並びなどをしっかりと調べ、必要に応じてCT検査も行います。

診断・治療計画の説明

検査結果をもとに、診断と治療計画についてご説明いたします。その際、分かりやすい言葉でご説明し、お子さんにも納得していただけるよう心掛けています。治療の目的、流れ、期間、予想される効果や注意点など、具体的にご説明しますので、ご不明点やご心配な点は何でもお聞きください。

矯正治療開始

診断・治療計画に基づいて矯正治療を開始します。矯正装置の装着後は、定期的なメンテナンスと口腔筋機能療法(MFT)を並行して行い、唇や舌の正しい動きをトレーニングしていきます。治療中は特に痛みや不快感に注意し、お子さんの様子を観察しながら、適切なケアを行っていきます。

保定期間・経過観察

矯正治療完了後も、定期的な経過観察と保定期間がとても重要です。お子さんの成長に合わせた安定した歯並びを維持するため、専用の保定装置を使用し、定期検診で口腔内の状態をチェック。治療後も、保護者様と連携して、長期にわたるサポートを行い、再発防止と健全な発育を見守ります。

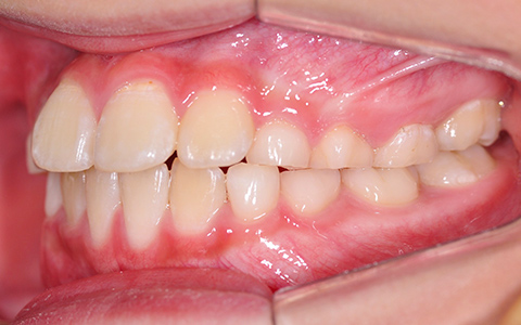
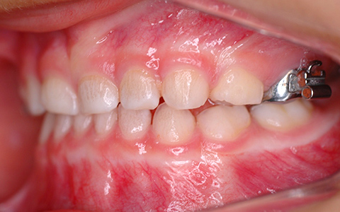
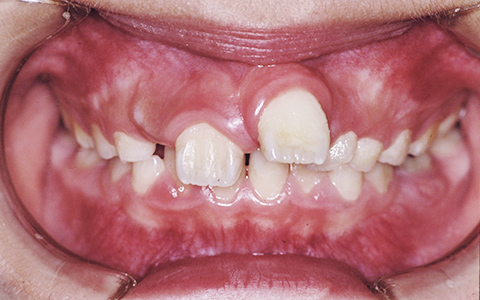
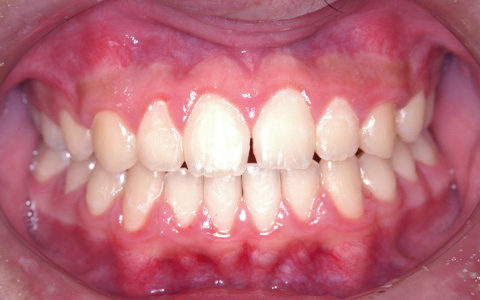
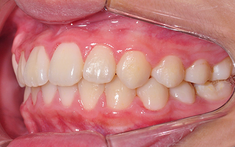
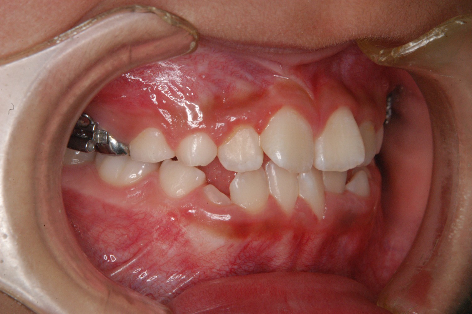
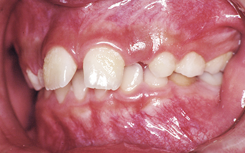
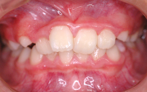
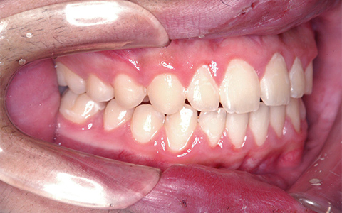
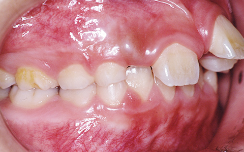
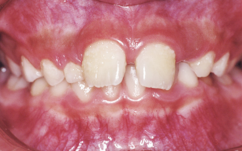
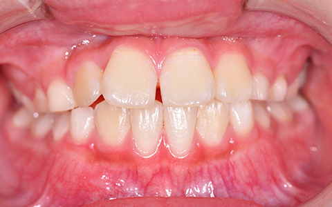
症例紹介

CASE

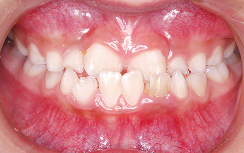
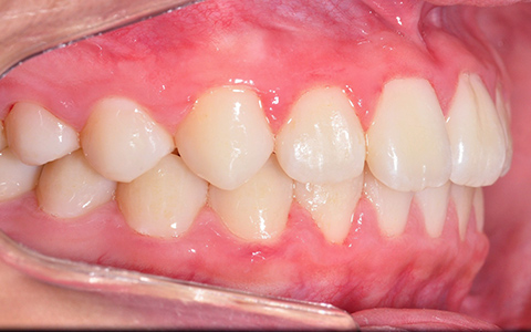
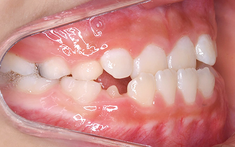
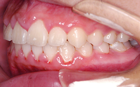
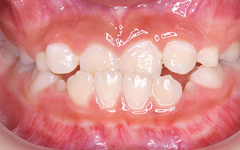
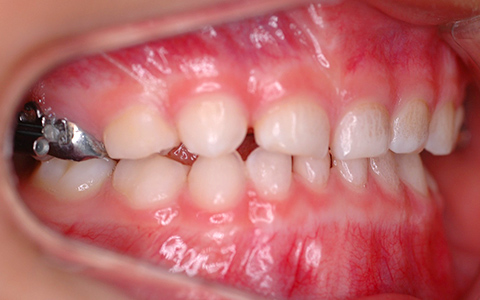
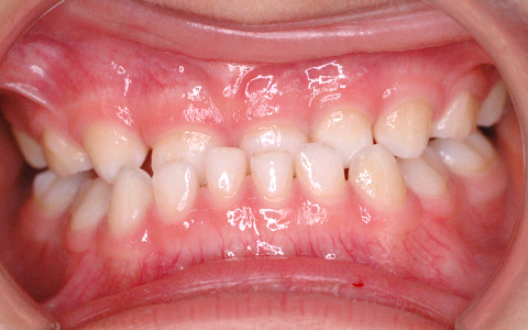
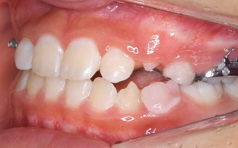
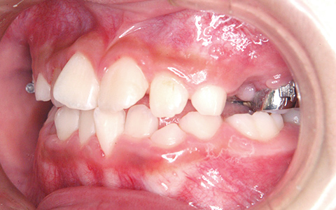
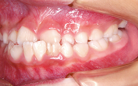
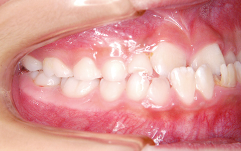
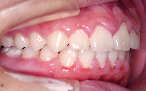
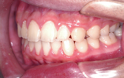
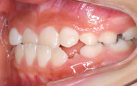
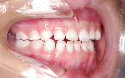
CASE 01

Before

After

Before

After

Before

After

Before

After

Before

After

治療詳細 小児矯正から一般矯正(Ⅱ期治療)への移行症例 床拡大装置で上顎拡大後、下顎骨前方誘導装置で下顎の前方成長を誘導し、Ⅱ期治療において非抜歯でワイヤー矯正治療をおこなった。ワイヤー矯正は日本生理学的矯正学会の推奨する、痛み等の副作用が少ないワイヤー矯正法を採用
治療期間 経過観察期間含めて4年7ヵ月(うちⅡ期治療期間11ヵ月)
費用 605,000円(税込)
リスク・副作用 ・装置を使用しなかったときの上顎拡大不足、下顎の前方成長不足
・抜歯治療の可能性
・保定装置の不使用等による後戻り
・装置に伴う清掃不良によるむし歯、歯肉炎のリスク
・装置装着後、調整後の痛みの可能性

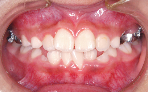
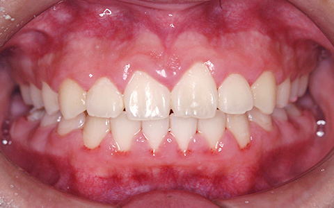
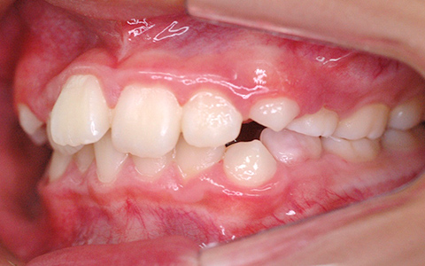
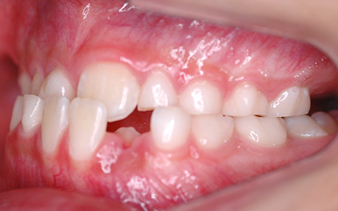
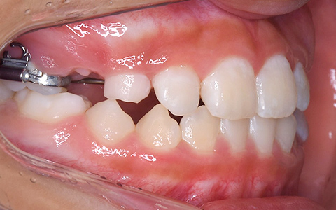
CASE 02

Before

After

Before

After

Before

After

Before

After

Before

After

治療詳細 小児矯正から一般矯正(Ⅱ期治療)への移行症例 床拡大装置で上顎拡大後、下顎骨前方誘導装置で下顎の前方成長を誘導し、Ⅱ期治療において非抜歯でワイヤー矯正治療。ワイヤー矯正は日本生理学的矯正学会の推奨する、痛み等の副作用が少ないワイヤー矯正法を採用
治療期間 経過観察期間含めて5年3ヵ月(うちⅡ期治療期間1年1ヵ月)
費用 605,000円(税込)
リスク・副作用 ・装置を使用しなかったときの上顎拡大不足、下顎の前方成長不足
・抜歯治療の可能性
・保定装置の不使用等による後戻り
・装置に伴う清掃不良によるむし歯、歯肉炎のリスク
・装置装着後、調整後の痛みの可能性

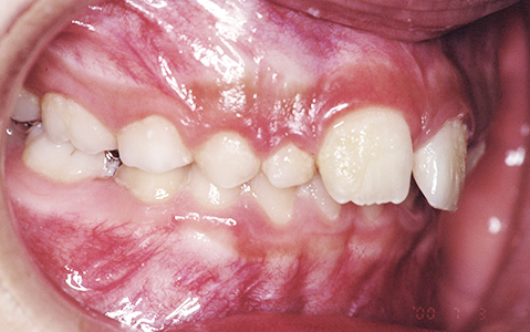
CASE 03

Before

After

Before

After

Before

After

Before

After

Before

After

治療詳細 フェイシャルマスクにより上顎を前方成長に誘導し、その後2年間、下顎前突の原因であり、後戻りの原因でもある低位舌改善のため、プレオルソを使用してもらい筋機能療法(MFT)を行った。
治療期間 1年2ヵ月
費用 440,000円(税込)
リスク・副作用 ・装置を使用しなかったときの上顎拡大不足、下顎の前方成長不足
・抜歯治療の可能性
・保定装置の不使用等による後戻り
・装置に伴う清掃不良によるむし歯、歯肉炎のリスク
・装置装着後、調整後の痛みの可能性

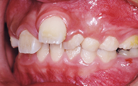
CASE 04

Before

After

Before

After

Before

After

Before

After

Before

After

治療詳細 フェイシャルマスクによる上顎前方成長を誘導し、その後Ⅱ期治療開始まで、下顎前突の原因であり後戻りの原因でもある、低位舌改善のためプレオルソと筋機能療法(MFT)を行った。
治療期間 1年4ヵ月
費用 440,000円(税込)
リスク・副作用 ・装置を使用しなかったときの上顎拡大不足、下顎の前方成長不足
・抜歯治療の可能性
・保定装置の不使用等による後戻り
・装置に伴う清掃不良によるむし歯、歯肉炎のリスク
・装置装着後、調整後の痛みの可能性

CASE 05

Before

After

Before

After

Before

After

Before

After

Before

After

治療詳細 フェイシャルマスクを就寝時装着してもらうことにより、上顎を前方成長に誘導し、被蓋改善をはかる。その後、Ⅱ期治療に入るまで、下顎前突の原因であり、後戻りの原因でもある低位舌改善のため、プレオルソ治療と筋機能療法(MFT)を行った。
治療期間 1年4ヵ月
費用 440,000円(税込)
リスク・副作用 ・装置を使用しなかったときの上顎拡大不足、下顎の前方成長不足
・抜歯治療の可能性
・保定装置の不使用等による後戻り
・装置に伴う清掃不良によるむし歯、歯肉炎のリスク
・装置装着後、調整後の痛みの可能性

CASE 06

Before

After

Before

After

Before

After

Before

After

Before

After

治療詳細 小児矯正から一般矯正(Ⅱ期治療)への移行症例 2x4と併用して、ヘッドギアを用い、下顎の前方成長を促し、Ⅱ期治療において非抜歯でワイヤー矯正治療をおこなった。ワイヤー矯正は日本生理学的矯正学会の推奨する、痛み等の副作用が少ないワイヤー矯正法を採用
治療期間 3年6ヵ月(Ⅱ期治療期間10ヵ月)
費用 605,000円(税込)
リスク・副作用 ・装置を使用しなかったときの上顎拡大不足、下顎の前方成長不足
・抜歯治療の可能性
・保定装置の不使用等による後戻り
・装置に伴う清掃不良によるむし歯、歯肉炎のリスク
・装置装着後、調整後の痛みの可能性

CASE 07

Before

After

Before

After

Before

After

Before

After

Before

After

治療詳細 フェイシャルマスクを就寝時装着してもらうことにより、上顎を前方成長に誘導し、被蓋改善後2年間、下顎前突の原因であり、後戻りの原因でもある低位舌改善のため、プレオルソ治療と筋機能療法(MFT)を行った。
治療期間 6ヵ月
費用 440,000円(税込)
リスク・副作用 ・装置を使用しなかったときの上顎拡大不足、下顎の前方成長不足
・抜歯治療の可能性
・保定装置の不使用等による後戻り
・装置に伴う清掃不良によるむし歯、歯肉炎のリスク
・装置装着後、調整後の痛みの可能性

CASE 08

Before

After

Before

After

Before

After

Before

After

Before

After

治療詳細 フェイシャルマスクを就寝時装着してもらうことにより、上顎を前方成長に誘導し、被蓋改善をはかる。その後Ⅱ期治療に入るまで、下顎前突の原因であり、後戻りの原因でもある低位舌改善のため、プレオルソ治療と筋機能療法(MFT)を行った。
治療期間 10ヵ月
費用 440,000円(税込)
リスク・副作用 ・装置を使用しなかったときの上顎拡大不足、下顎の前方成長不足
・抜歯治療の可能性
・保定装置の不使用等による後戻り
・装置に伴う清掃不良によるむし歯、歯肉炎のリスク
・装置装着後、調整後の痛みの可能性

費用

FEE

矯正相談料 無料
検査、診断料 無料
基本治療料(審美ブラケット標準) 22~44 万円※1
調整、管理料(再診料) 無料
保定装置 無料
その他 抜歯 MFT(筋機能療法) 無料

※1小児矯正を行ったお子さんが永久歯列になって次のステップの矯正が必要になった場合の基本治療料は、一般矯正の基本治療料605,000円(税込)と、かかった小児矯正基本治療料との差額になります。
※表示金額は全て税込です。

お支払方法

当院では、下記のお支払方法が可能です。

現金

現金

現金でのお支払い

銀行振込

銀行振込

振込でのお支払い

デンタルローン

デンタルローン

低金利分割払いでの
お支払い

分割でのお支払いについて

お子さんの場合、矯正治療以外にも費用のかかる場面が多いかと思いますので、当院では金利のかからない分割払いをご用意しております。こちらの分割払いをご利用の場合でも医療費控除の対象となりますので、詳しくはスタッフまでご相談ください。

44 万円の治療費を分割でお支払い
いただく場合

初回
20万円

1回目
2万円

2回目
2万円

3回目
2万円

12回目
2万円

※初回のお支払は200,000円(税込)をお支払いいただきます。
※残りの治療費 240,000円を 12 回の分割でお支払いいただきます。
※金利のご負担無しでご利用いただけます。

デンタルローンでのお支払いについて

矯正治療は他の治療と比較しても高額な治療費が必要となりますので、デンタルローンをご利用いただくことで患者さんの金銭的負担も少なく安心して治療を受けていただくことが可能です。デンタルローンを使用した場合でも医療費控除の対象となりますので、詳しくはスタッフまでご相談ください。

デンタルローンでのお支払い例

月々4,500(税込)で始められます

※初回のお支払のみ、6,624 円 (税込)となります。
※治療費 440,000 円の矯正治療を 120 回の分割払いでお支払いいただく場合の例となります。

医療費控除制度について

生計を共にするご家族やご自身の病気やケガなどの事由で医療費の支払いがあった場合、確定申告によって一定金額の所得控除を受けることが可能です。年間の医療費の合計が 10 万円を超える場合が適用となります。

注意点・リスク・副作用

・治療の初期段階では痛みや不快感が生じやすくなりますが、1 週間前後で慣れます。
・歯の動きかたには個人差があるため、予想された治療期間より延長する場合があります。
・装置の使用状況や定期的な通院など、患者さんの協力程度で治療の結果や期間に影響します。
・状況により当初予定した治療計画を変更する可能性があります。
・装置が外れた後に、保定装置を使用しないと後戻りが生じる可能性が高くなります。
・親知らずの影響や加齢などによって、凸凹が生じる可能性があります。
・矯正治療は一度始めると元の状態に戻すことは難しくなります。

お子さんのお口について
お早めにご相談ください

将来の
歯並びが
心配

発音が
良くない

姿勢が悪い

いびきが
気になる

無料カウンセリング実施中
お気軽にお越しください

9:00~12:00/14:00~18:00 ※土曜午後 14:00~17:00 休診:木日祝
ご予約お問い合わせ 0263-47-6670

挨拶

GREETING

院長

太田 芳夫 OTA YOSHIO

お子さんの未来の健康のために、
今できることを一緒に
考えていきましょう

当院のホームページをご覧いただき、ありがとうございます。
「お口ポカン」や指しゃぶり、舌の癖などの習慣は、歯並びや噛み合わせの乱れを引き起こすだけでなく、姿勢や呼吸、発音そして、免疫力の低下等全身の健康にも影響を及ぼします。
当院では、成長期のお子さんに適した矯正治療を行うとともに、こうした悪い癖を改善し、健やかな口元を育むサポートを大切にしています。治療を通じて「よく噛める」「正しく呼吸できる」「正しく飲み込める」といった口元の環境を整えることで、お子さんの健やかな成長を支えていきます。
お子さんの未来の健康のために、今できることを一緒に考えていきましょう。気になることがあれば、ぜひ一度ご相談ください。

略歴

  • 1985 年
    日本歯科大学歯学部卒業
  • 1985 年
    一志歯科医院勤務
  • 1987 年
    上島歯科医院勤務
  • 1988 年
    松本市島内に[おおた歯科医院]を開院
  • 2010 年
    日本構造医学研究所認定指導員
  • 2017 年
    日本生理学的矯正歯科学会認定医
  • 2021 年
    歯科医院名を「おおた歯科・矯正歯科医院」に改名

資格・所属学会

  • 日本生理学的矯正歯科学会
  • 日本構造医学会
  • 地球環境医療者会議
  • 日本歯科大学歯学会
  • 国際歯周内科学研究会
  • 松島中学校校医
  • 島内保育園園医

医院紹介

CLINIC

〒390-0851 長野県松本市島内 5000-2

0263-47-6670
診療時間
9:00~12:00
14:00~18:00

:14:00~17:00 休診日:木曜・日曜・祝日

アクセス詳細

駐車場 5 台
JR 大糸線「島内駅」徒歩 5 分

お子さんのお口について
お早めにご相談ください

将来の
歯並びが
心配

発音が
良くない

姿勢が悪い

いびきが
気になる

無料カウンセリング実施中
お気軽にお越しください

9:00~12:00/14:00~18:00 ※土曜午後 14:00~17:00 休診:木日祝
ご予約お問い合わせ 0263-47-6670

よくあるご質問

Q&A

Q

小児矯正は何歳から始めるべきですか?

一般的に 3 歳~6 歳頃がおすすめです。早めから始めることで成長する力を利用した無理のない治療が可能で、将来の歯並びトラブルを防ぐことに繋がります。

Q

治療期間はどれくらいですか?

お子さんの成長や状態により異なりますが、一般的には 2~3 年程度の治療期間が必要です。治療期間が終了後も、保定期間や定期的なメンテンナンスでお越しいただくことをおすすめしております。

Q

子どもへの負担はありますか?

当院の矯正治療は低侵襲で違和感や痛みを抑えることを心掛けております。また、お子さんとのコミュニケーションや感覚を大切にし、微調整していきますのでご安心ください。

Q

矯正装置のケアはどうすれば良いですか?

毎日のケアについてしっかりとレクチャーさせていただきます。また、定期検診でも装置の清掃や点検を行い、トラブルを未然に防ぎます。

Q

治療前に不安な点を相談できますか?

初回の無料相談にて、お子さんのお口の状態や治療内容について丁寧に説明いたします。もちろん、疑問点やご不明点がございましたら遠慮なくお聞きください。ご家族にもお子さんにもご納得いただいてから治療を開始いたします。